A woman with a radiant smile, looking directly at the camera with her hand gently placed on her face.

Dentistry Before and After Photos

Before

The image shows a close-up view of a person s open mouth with teeth, including an upper denture, and the lower lip can be seen.

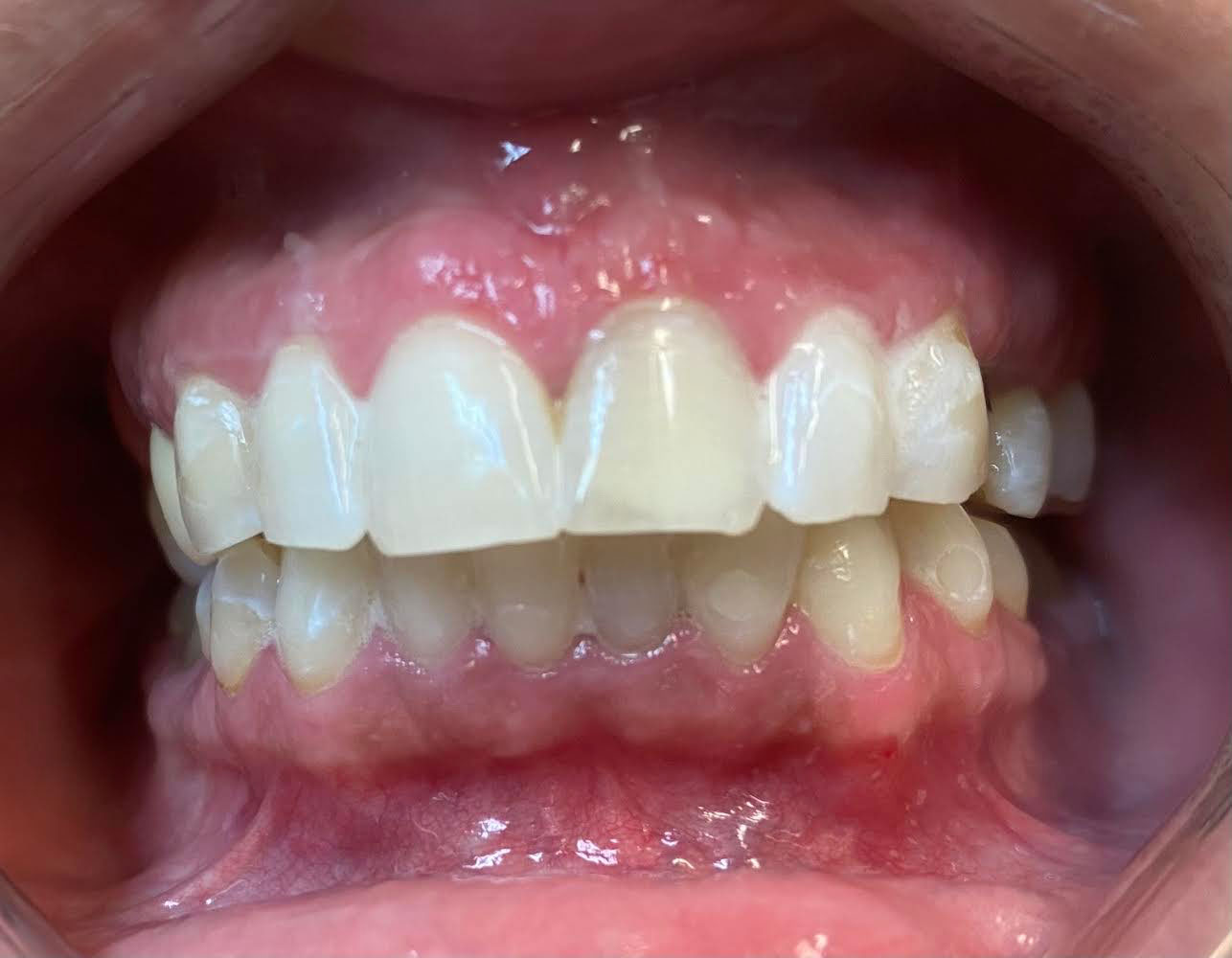
After

The image shows a close-up view of a person s teeth with a bright smile, focusing on the lower front teeth and part of the upper lip.

Before

The image shows a close-up view of a person s teeth with a noticeable gap between them, which is highlighted by an open mouth revealing the interior of the mouth.

After

The image displays a close-up view of a person s mouth with teeth showing, some of which appear to be damaged or discolored, against a pinkish background that could be the interior of a mouth or lips.

Before

The image shows a person s mouth with a large gap between the teeth, revealing an unhealthy oral condition, possibly due to decay or gum disease.

After

The image shows a person s mouth with teeth and gums, displaying an open-mouth smile, and appears to be taken from a dental perspective, possibly during a dental appointment.

Before

The image shows an open mouth displaying yellowed teeth with a focus on the front teeth, which appear discolored due to dental issues such as staining or decay.

After

A close-up view of an open mouth with a prominent set of teeth, showcasing a pinkish gumline and a partial denture.

Before

The image depicts a person with an open mouth wearing dental braces, sitting in a dental chair with medical equipment around them, likely during a dental procedure.

After

The image shows a person wearing an open-mouth orthodontic appliance with sharp edges, revealing teeth and gums, against a blurred background.

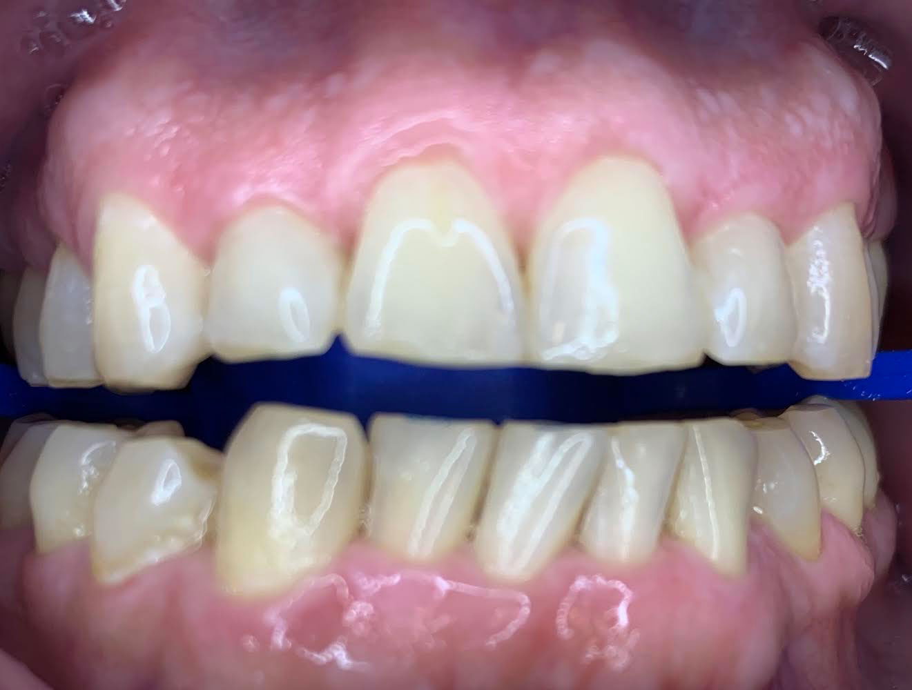
Before

The image displays a close-up view of a person s teeth with a focus on yellowing and staining, set against a blurred background that appears to be a mouth.

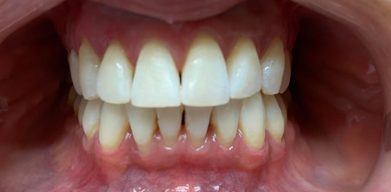
After

The image shows a close-up of a person smiling with their teeth visible, against a background that appears to be a light-colored wall.

Before

An up-close photograph of an open mouth with yellowish teeth and visible gumline, showcasing a dental procedure or cosmetic enhancement.

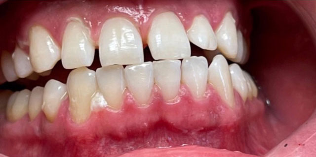
After

The image shows a close-up view of a person s teeth with a focus on a large gap between two front teeth, which are prominently displayed.

Before

The image shows a close-up view of an individual's mouth with multiple teeth missing and yellowed teeth remaining, revealing a dental condition known as tooth decay or cavities.

After

The image shows a person with an open mouth displaying their teeth, which appear yellowed and possibly stained, set against a blurred background that suggests a dental or medical setting.

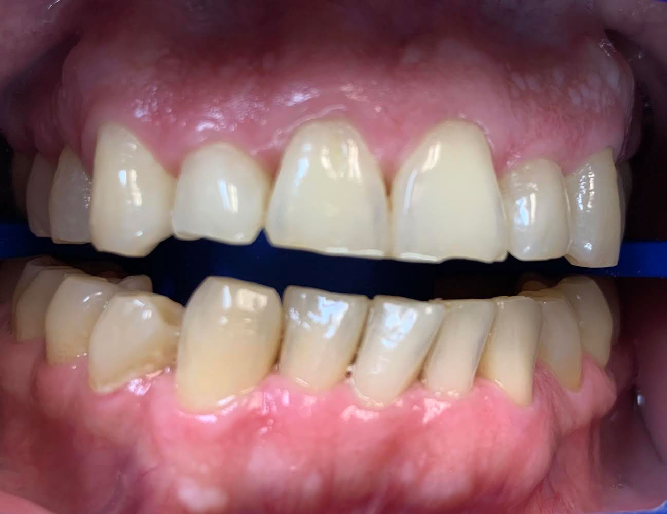
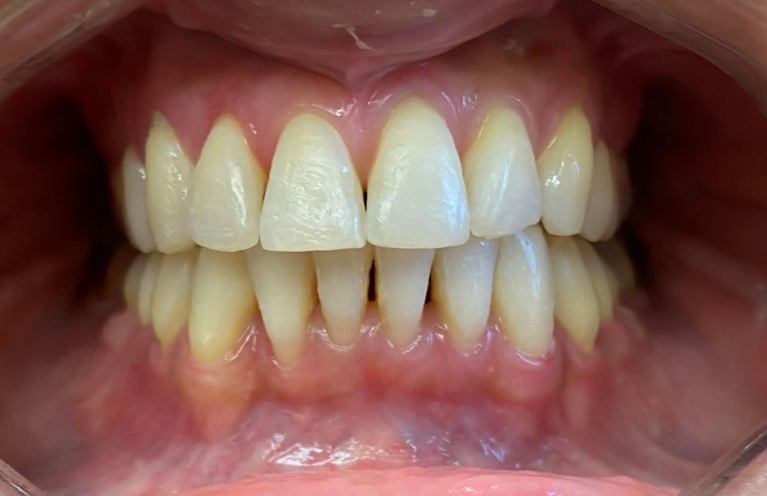
Before

The image shows a close-up view of a person s teeth with a focus on a noticeable pinkish gum line, displayed against a blue background.

After

The image shows a close-up view of a person s teeth with an upper and lower set of dental implants, featuring a pink gum line and blue markers on the teeth.
The image displays a stylized graphic with a color palette consisting of shades of green and gray, featuring abstract shapes and lines that suggest a three-dimensional structure, possibly related to architecture or design.

Our Services

Learn More

New Patients

Learn More

Request an Appointment

Start Today

Contact Info

20 N Finley Ave
Basking Ridge, NJ 07920

Office Hours

Monday
9:00 am - 6:00 pm
Tuesday
10:00 am - 7:00 pm
Wednesday
Closed
Thursday
8:00 am - 5:00 pm
Friday
9:00 am - 6:00 pm
Saturday
Closed
Sunday
Closed

*Closed for lunch every day from 2pm – 3pm